Adipogen
anti-Caspase-1 (p20) (mouse), mAb (Casper-1)
anti-Caspase-1 (p20) (mouse), mAb (Casper-1)
Caspase-1 is the best-described inflammatory caspase. It processes the cytokines interleukin-1β (IL-1β) and IL-18 and induces pyroptotic cell death. Caspase-1 is activated by multiprotein complexes called Inflammasomes in response to numerous stimuli that are detected through distinct inflammasomes. NLRC4 responds to cytosolic flagellin, murine NLRP1b responds to anthrax lethal toxin, AIM2 responds to cytosolic DNA and NLRP3 responds to a variety of agonists including crystals.
Figure 1: Mouse caspase-1 (p20) is detected by immunoblotting using anti-Caspase-1 (p20) (mouse), mAb (Casper-1) (Prod. No. AG-20B-0042). Method: Caspase-1 was analyzed by Western blot in cell extracts and supernatants of differentiated bone marrow-derived dendritic cells (BMDCs) from wild-type, NLRP3-/- and caspase-1-/- mice activated or not by 5 μM Nigericin (Prod. No. AG-CN2-0020) for 30 min. Cell extracts and supernatants were separated by SDS-PAGE under reducing conditions, transferred to nitrocellulose and incubated with anti-Caspase-1 (p20) (mouse), mAb (Casper-1) (1μg/ml). Proteins were visualized by a chemiluminescence detection system.
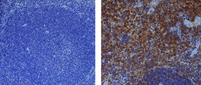
Figure 2: Immunohistochemical staining of endogenous mouse Caspase-1 in mouse spleen using anti-Caspase-1 (p20) (mouse), mAb (Casper-1) (Prod. No. AG-20B-0042). Method: Mouse spleen tissues (paraffin sections) from Caspase-1 KO (left) or WT (right) mice were stained using anti-Caspase-1 (p20) (mouse), mAb (Casper-1) (Prod. No. AG-20B-0042) (1:500) by standard immunohistochemistry (antigen retrieval performed with sodium citrate).
Couldn't load pickup availability
General Specifications
1. Clone: Casper-12. Isotype: Mouse IgG1
3. Source/Host: Purified from concentrated hybridoma tissue culture supernatant.
4. Immunogen/Antigen: Recombinant mouse caspase-1.
5. Specificity: Recognizes endogenous full-length and activated (p20 fragment) mouse caspase-1. Described to cross-react with full-length and activated (p20 fragment) 6. of rat caspase-1 (Lit. #30 & 34).
7. Purity: ≥95% (SDS-PAGE)
8. Purity Detail: Protein G-affinity purified.
9. Concentration: 1mg/ml
10. Formulation: Liquid. In PBS containing 10% glycerol and 0.02% sodium azide.
11. Shipping: BLUE ICE
12. Short Term Storage: +4°C
13. Long Term Storage: -20°C
Safety & Documentation
View full details

Disclaimer: Products are chemical reagents for research use
only and are not intended for human use. We do not sell to patients.